หมอยังตกใจ ชายป่วยทีเดียว 2 มะเร็งพร้อมกัน โดยไม่ได้เชื่อมโยงกันหรือเกิดจากการแพร่กระจาย แพทย์เตือนอย่าละเลยแม้ป่วยเล็กน้อย
ชายเวียดนามวัย 70 ปี ต้องเข้ารับการตรวจที่โรงพยาบาลบั๊กไม (Bạch Mai) หลังมีอาการไอแห้งเรื้อรัง พบว่าเขาป่วยเป็น มะเร็งถึง 2 ชนิดพร้อมกัน คือ มะเร็งปอดและมะเร็งลำไส้ใหญ่ ซึ่งจัดว่าเป็นกรณีหายากมาก โดยสถิติทางการแพทย์พบว่า โอกาสพบผู้ป่วยมะเร็งปอดและมะเร็งลำไส้ใหญ่ร่วมกันมีเพียง 0.6% ของผู้ป่วยมะเร็งทั้งหมด
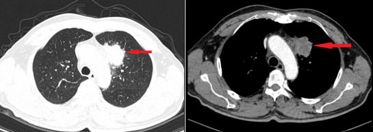
ตรวจพบมะเร็ง 2 ตำแหน่ง
ทีมแพทย์จากศูนย์เวชศาสตร์นิวเคลียร์และมะเร็งวิทยา โรงพยาบาลบั๊กไม ได้วินิจฉัยว่าผู้ป่วยมีเนื้องอกในปอด (กลีบบนของปอดซ้าย) ซึ่งผลการตรวจชิ้นเนื้อยืนยันว่าเป็น มะเร็งชนิดต่อม (Adenocarcinoma) ซึ่งเกิดที่ปอด
ระหว่างกระบวนการตรวจเพิ่มเติม แพทย์ได้ทำการส่องกล้องลำไส้ใหญ่ และพบแผลคล้ายแผลหลุมที่บริเวณลำไส้ใหญ่ พร้อมผลชิ้นเนื้อยืนยันว่าเป็น มะเร็งลำไส้ใหญ่
ผลการตรวจเพิ่มเติมอื่นๆ เช่น CT ช่องท้อง, MRI สมอง และอัลตราซาวด์ต่อมน้ำเหลือง ไม่พบการแพร่กระจายของมะเร็งไปยังอวัยวะอื่น

มะเร็งปอดระยะลุกลาม มะเร็งลำไส้ใหญ่ระยะต้น
ทีมแพทย์สรุปว่า ผู้ป่วยรายนี้ป่วยเป็นมะเร็ง 2 ตำแหน่ง โดยไม่มีความเชื่อมโยงกันทางพยาธิวิทยา และไม่ใช่การแพร่กระจายของมะเร็งจากอวัยวะหนึ่งสู่อีกอวัยวะหนึ่ง ซึ่งถือว่าเป็นกรณีที่พบได้น้อยมากและมีความซับซ้อนสูง ยังไม่มีแนวทางการรักษามาตรฐานที่ชัดเจน
แนวทางรักษา
เนื่องจาก มะเร็งปอดมีความรุนแรงมากกว่า แพทย์จึงวางแผนให้เคมีบำบัดและรังสีบำบัดเป็นอันดับแรก จากนั้นจะพิจารณาผ่าตัดเนื้องอกลำไส้ใหญ่และให้การรักษาเสริมตามความจำเป็น

อย่าชะล่าใจแม้อาการเล็กน้อย
แพทย์เน้นย้ำว่า การพบมะเร็งสองตำแหน่งพร้อมกันเป็นเรื่องที่หายากและอาจถูกมองข้ามได้ง่าย จึงควร เข้ารับการตรวจสุขภาพประจำปี และหากมีอาการไม่ชัดเจน เช่น ไอเรื้อรังโดยไม่มีสาเหตุ ควรรีบเข้าพบแพทย์ ไม่ควรตรวจแค่ระบบเดียวที่มีอาการ
7 วิธีลดความเสี่ยงโรคมะเร็ง
องค์การอนามัยโลกประเมินว่า 30–50% ของมะเร็งสามารถป้องกันได้ หากมีพฤติกรรมสุขภาพที่ดีและตรวจคัดกรองเป็นประจำ โดยคำแนะนำสำคัญมีดังนี้:
- งดสูบบุหรี่: บุหรี่เป็นต้นเหตุของมะเร็งปอดและมะเร็งอีกกว่า 15 ชนิด
- รักษาน้ำหนักให้อยู่ในเกณฑ์: โรคอ้วนเพิ่มความเสี่ยงมะเร็งเต้านม ลำไส้ และตับ
- อาหารสุขภาพ: เพิ่มผักผลไม้ ธัญพืช ลดการบริโภคเนื้อแดง อาหารแปรรูป ของทอด และแอลกอฮอล์
- ออกกำลังกายอย่างสม่ำเสมอ: อย่างน้อยวันละ 30 นาที ช่วยลดความเสี่ยงมะเร็งเต้านมและลำไส้ใหญ่
- จำกัดเครื่องดื่มแอลกอฮอล์: แอลกอฮอล์เพิ่มความเสี่ยงมะเร็งตับ หลอดอาหาร ลำไส้
- ตรวจคัดกรองสม่ำเสมอ: เช่น ส่องกล้องลำไส้ใหญ่ ตรวจเต้านม เพื่อหามะเร็งระยะเริ่มต้น
- ควบคุมโรคเรื้อรัง: เช่น เบาหวาน หรือไวรัสตับอักเสบ ช่วยลดความเสี่ยงมะเร็ง
ฺกรณีผู้ป่วยรายนี้เป็นเครื่องเตือนใจว่า มะเร็งอาจมาแบบไม่คาดคิด แม้จะมีเพียงอาการเล็กน้อยอย่าง “ไอเรื้อรัง” จึงควรใส่ใจสุขภาพ และเข้ารับการตรวจเช็กร่างกายอย่างสม่ำเสมอเพื่อป้องกันและรักษาได้ทันเวลา.



















